Trommelfellverschlussplastik
Tympanoplastik Typ 1 nach Wullstein
Ein typisches Merkmal der chronischen Mittelohrentzündung ist das Loch im Trommelfell. Es gibt aber auch andere Gründe für ein Loch im Trommelfell, z.B. Unfälle oder selten ein bleibendes Loch im Trommelfell nach Paukenröhrchen.
Es gibt drei Typen von Trommelfellverschlussplastik:
1. Die reine Trommelfellschienung und -auskrempelung bei einer frischen Verletzung des Trommelfells:
Dabei wird in örtlicher Betäubung oder Vollnarkose das meist eingerollte Trommelfell mit einem Häkchen wieder glatt hingelegt und anschließend mit einer Silikonfolie geschient.
2. Die sogenannte Myringoplastik:
Dabei wird das Loch im Trommelfell, das meistens schon länger besteht, angefrischt und anschließend ein Transplantat durch das Loch hindurch in das Mittelohr eingeführt und dann das Loch von innen mit dem Transplantat unterlegt.
3. Die klassische Tympanoplastik:
Das Trommelfell wird zusammen mit der Gehörganghaut angehoben, nachdem die Ränder des Trommelfelllochs angefrischt wurden. Nun wird die Gehörknöchelchenkette kontrolliert und dann das Loch wie bei der Myringoplastik mit dem Transplantat durch Unterlegen von innen verschlossen.
Welche Form der Trommelfellverschlussplastik angewandt wird, hängt von der Ursache für das Loch, von der Belüftung des Mittelohres, vom Zeitpunkt der Entstehung des Lochs und der Lokalisation und Größe des Lochs ab. Der operative Aufwand ist bei der Trommelfellschienung am geringsten und bei der klassischen Tympanoplastik am größten.
Auch die Wahl des Transplantatmaterials hängt von den unterschiedlichen Faktoren aber auch von der Vorliebe des Operateurs ab. Typische Transplantate sich: Muskelhaut vom M. temporalis (dem großen Kaumuskel), Knorpel von der Ohrmuschel, Knorpelhaut oder eine Kombination aus Knorpel und Knorpelhaut, sowie Fett vom Ohrläppchen.

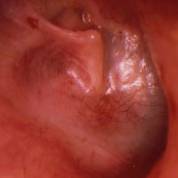
Loch im Trommelfell eines Hobbygärtners durch Stich mit einer Yucca-palme

Loch im Trommelfell nach Schienung mit Silikon

Trommelfell nach Rekonstruktion mit Muskelhaut

Trommelfell nach Rekonstruktion Knorpelhaut

Trommelfell nach Rekonstruktion Knorpel und Perichondrium
