Endoskopische Ohrchirurgie
Im Ohrenschwerpunkt Karlsruhe bieten wir als eine der ersten Kliniken Deutschlands das moderne Verfahren der endoskopischen Ohrchirurgie an. Die endoskopische Ohrchirurgie eignet sich besonders für Operationen am Mittelohr. Bei der endoskopischen Ohrchirurgie werden anstelle des Mikroskops Endoskope mit 0° bis 70° Winkeln verwendet. Der Operateur beobachtet die Operation auf einem Fernsehmonitor, der das Bild von einer Kamera erhält, die an das Endoskop angeschlossen ist. Meistens ist es möglich ohne äußerlichen Schnitt über den äußeren Gehörgang zu operieren. Die Grundprinzipien der mikroskopischen Ohrchirurgie, die sich in den vergangenen 50 bis 70 Jahren entwickelt wurden und sich bewährt haben, werden auch beim endoskopischen Operieren angewendet. In Abhängigkeit vom Befund kann es sogar sinnvoll sein, Endoskop und Mikroskop bei einer Operation zu kombinieren.
Die Verwendung des Endoskops im Mittelohr erlaubt dem Operateur versteckte Ecken im Ohr besser einzusehen. Es muss weniger Knochen abgetragen werden, um Pathologien in diesen versteckten Ecken zu entfernen. Da das Weichteiltrauma gering gehalten wird, ist der Heilungsverlauf in der Regel schneller als nach Operationen mit dem Mikroskop.

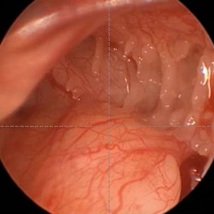
Endoskopischer Blick in die Ohrtrompete

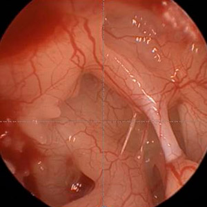
Endoskopischer Blick in Recessus fazialis und Sinus tympani

Endoskopischer Blick ins Epitympanon

Endoskopischer Blick ins Hypotympanon
